脳腫瘍PET画像を1/3のスキャン時間で 短時間でも臨床応用可能な画質を維持
2025.12.4 Thu
研究発表のポイント
- 一般的な脳腫瘍PET1検査では10分程度のスキャン時間が推奨されており、スキャン時間の短縮は画質低下の要因となります。
- 高性能な半導体検出器2を用いたPET/CT装置3(SiPM PET/CT装置)と再構成技術を組み合わせることで、3分間のスキャンでも診断可能な画質が得られることを示しました。
- 本研究により、スキャン時間の短縮が患者の快適性、検査の効率性向上に寄与する可能性が示され、SiPM PET/CT装置の検査プロトコルの最適化に向けても重要な追加情報が得られました。
概要
PET検査は、体内に投与した放射性医薬品からの放射線を、体外の検出器で計測することでその分布を画像化する検査です。放射線医薬品のひとつである「11C-メチオニン」を用いたPET検査(以下メチオニンPET検査)は脳腫瘍の診断に有用ですが、診断可能なレベルの画質を得るために比較的長時間のスキャン(10分程度)が推奨されています。
東北大学大学院医学系研究科放射線検査学分野の猪又 嵩斗大学院生、千田 浩一教授(災害放射線医学分野)らの研究グループは、高性能な半導体検出器を搭載したPET/CT装置(SiPM PET/CT装置)を用いて、異なるスキャン時間(10分、5分、3分)で取得したPET画像の画質評価を行いました。その結果、SiPM PET/CT装置を用いたメチオニンPET検査では、スキャン時間3分でも臨床応用可能な画質が得られることを明らかにしました。
これにより、メチオニンPET検査のスキャン時間が短縮され、患者の身体的負担が軽減されることが期待されます。
本研究成果は2025年11月19日付でApplied Sciencesのオンライン版に掲載されました。
詳細な説明
研究の背景と経緯
メチオニンPET検査は、アミノ酸代謝が活発な組織に集積しやすい放射線医薬品である「11C-メチオニン」を投与して、その分布をPET/CT装置で画像化する検査です。集積の大きさはSUV4という指標で定量的に評価され、脳腫瘍の診断に有用であることが知られています。メチオニンPET検査では、診断可能なレベルの画質・定量性を担保するために比較的長いスキャン時間(10分程度)が推奨されています。
近年、高性能なSiPM PET/CT装置の開発が進んでいます。SiPM PET/CT装置では、従来の装置と比べて、検出した放射線を高効率で電気信号に変換できるという特徴があります。そのため、SiPM PET/CT装置と既存の再構成技術を組み合わせることで、短時間スキャンでも良好な画質が得られると考えました。しかし、実際の検査で短時間スキャンを行う前に、スキャン時間の短縮が画質・定量性にどう影響するかを精査する必要がありました。また、再構成技術の一つである分解能補正は、画質を向上させる一方で、SUVを過大評価する可能性が指摘されています。そのため、短時間スキャンで得たデータに分解能補正を応用したときに画質・定量性に悪影響を与えないか、精査する必要がありました。
研究の内容
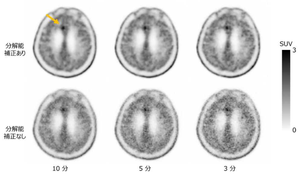
東北大学大学院医学系研究科放射線検査学分野の猪又 嵩斗(いのまた たかと)大学院生、千田 浩一(ちだ こういち)教授(災害放射線医学分野)らの研究グループは、ファントム5実験データおよび実際のメチオニンPET検査データから、3通りのスキャン時間(10分、5分、3分)に相当するデータを取り出しました。これらのデータを2通りの条件(分解能補正6あり・なし)で再構成し、1例あたり6通りの画像を取得しました(図1、2)。これらの画像のSUV評価および読影実験により、スキャン時間や分解能補正の有無による画質への影響を解析しました。その結果、3分スキャン、分解能補正ありの場合は、 10分スキャンとのSUVの誤差は5.2 ± 5.4%で、 放射線科医が全症例を「臨床応用可能な画質」と評価しました。また、3分スキャン、分解能補正なしの場合は、10分スキャンとの SUVの誤差は12.7 ± 8.5%でした(図3)。
これらの結果より、SiPM PET/CT装置によるメチオニンPET検査では、短時間スキャンでも分解能補正を応用することで臨床応用可能な画質・定量性が得られることが示唆されました。
今後の展開
メチオニンPET検査のスキャン時間を短縮することで、患者の身体的負担を軽減することが可能です。また、スキャン時間を短縮して1日あたりの検査数を増やすことで、医療資源(放射性医薬品など)の有効活用につながる可能性があります。

3通りのスキャン時間に相当するファントムデータを再構成して取得したPET画像(左からスキャン時間10分、5分、3分に相当)。分解能補正あり(上段)では分解能補正なし(下段)と比べて画像のざらつきが小さいことが分かる。

3通りのスキャン時間に相当する臨床データを再構成して取得したPET画像(左からスキャン時間10分、5分、3分に相当)。分解能補正あり(上段)では分解能補正なし(下段)と比べて画像のざらつきが小さいことが分かる。

10分スキャン画像に対する短時間スキャン画像のSUVの誤差。分解能補正あり(左)では分解能補正なし(右)と比べてSUVの誤差が小さいことが分かる。
謝辞
本研究の一部は、the program of NRA Human Resource Development, Human Resource Development Program for Advanced Radiation Protection with Practical Problem-Solving Skills, Japan(千田)の支援を受けて実施されました。また本論文は『東北大学2025年度オープンアクセス推進のためのAPC支援事業』の支援を受け、Open Accessとなっています。
用語説明
- PET:Positron Emission Tomography(陽電子放出断層撮影)の略。投与する放射性薬剤の種類によってブドウ糖やアミノ酸などの代謝を反映した画像を取得可能な検査。 ↩︎
- 半導体検出器:従来の検出器と比べて放射線を効率よく電気信号に変換できる高性能な検出器。 ↩︎
- PET/CT装置:PETとCT(Computed Tomography)という2つの検査装置を一体化させたもの。 ↩︎
- SUV:Standardized uptake valueの略.患者の体重や投与量の違いによる影響を考慮して放射性薬剤の集積の強さを標準化した値。 ↩︎
- ファントム:放射性同位元素を封入して使用する模型。装置の性能評価や基礎的実験に用いられる。 ↩︎
- 分解能補正:PET装置の視野中心と辺縁の空間分解能の差を補正する技術。 ↩︎
論文情報
タイトル:「半導体検出器搭載PET/CT装置を用いた頭部11C-メチオニンPET検査における短時間収集の検討」
Shortened Acquisition Duration for Brain Tumor 11C-Methionine Positron Emission Tomography on Silicon Photomultiplier Positron Emission Tomography/Computed Tomography
著者:猪又嵩斗*、佐藤郁、茨木正信、小南衛、篠原祐樹、木下富美子、山本浩之、加藤守、木下俊文、千田浩一*
Takato Inomata*, Kaoru Sato, Masanobu Ibaraki, Mamoru Kominami, Yuki Shinohara, Fumiko Kinoshita, Hiroyuki Yamamoto, Mamoru Kato, Toshibumi Kinoshita and Koichi Chida*
*責任著者:
東北大学大学院医学系研究科放射線検査学分野 大学院生 猪又嵩斗
東北大学大学院医学系研究科放射線検査学分野(災害放射線医学分野) 教授 千田浩一
掲載誌:Applied Sciences
DOI:10.3390/app152212292
URL:https://www.mdpi.com/2076-3417/15/22/12292
問い合わせ先
(研究に関すること)
東北大学大学院医学系研究科 放射線検査学分野/災害医学分野
教授 千田 浩一(ちだ こういち)
TEL:022-717-7943
Email:koichi.chida.d8*tohoku.ac.jp(*を@に置き換えてください)
(報道に関すること)
東北大学大学院医学系研究科・医学部広報室
TEL:022-717-8032
Email:press.med*grp.tohoku.ac.jp(*を@に置き換えてください)
- 関連リンク
- プレスリリース資料(PDF)
- 関連リンク
- 放射線検査学分野