発表のポイント
- 「根尖性歯周炎(AP)」1は、歯の根の先に炎症が起こり、顎の骨を溶かしてしまう病気です。本研究ではマウスを用いて、腸炎を発症すると、この顎骨破壊がさらに悪化することを明らかにしました。
- キャビテーション2という現象を応用し、抗炎症薬を患部に直接届ける新しい薬剤送達技術(DDS)3を開発し、顎骨破壊を抑えられることを示しました。
- 本研究は、これまで有効な治療法がなかった「腸炎によって悪化するAP」に対し、新たな抗炎症治療の可能性を示したものです。
概要
歯科医院などで「体調が悪いと歯の病気も治りにくい」と説明されることもありますが、その仕組みは未知の部分が多く、様々な研究が行われています。
東北大学大学院歯学研究科の中野将人助教、Moe Sandar Kyaw助教、齋藤正寛教授、東北大学病院の田中志典講師らの研究グループは、腸炎をもつ患者ではAPが重症化し、治療しても治りにくいことに着目し、マウスを用いた実験でこの状態を再現することに成功しました。その結果、腸炎によって顎骨内で好中球と呼ばれる免疫細胞が過剰に活性化し、これが顎骨破壊を悪化させていることを明らかにしました。さらに、この症状を改善するため、キャビテーションという現象を応用して歯の根の中(根管)から抗炎症薬を顎骨へ直接届ける新しい局所投与治療技術を開発し、顎骨破壊を抑制できることを示しました。
本研究は、これまで有効な治療法がなかった「治りにくいAP」の患者にも応用が期待される、新しい抗炎症治療の提案です。
本研究成果は、2026年2月24日に歯学分野の学術誌Journal of Dental Researchに掲載されました。
詳細な説明
研究の背景
近年、口腔の健康と全身疾患との関連が次々と明らかになっており、なかでもヒト最大の免疫組織である腸管免疫の破綻によって発症する炎症性腸疾患(IBD)は、腸炎にとどまらず全身や口腔の免疫機能低下を引き起こし、さまざまな合併症を伴うことが知られています。その結果、IBD患者では根尖性歯周炎(AP)の発症率が高く、さらに治療しても治りにくいため、最終的に抜歯によって歯を失うリスクが高いことが課題となっていました(図1)。
APに対する従来の治療(根管治療)は、根管内に感染した細菌を除去することを主な目的としており、その後の根尖部における骨組織の修復は、感染源が除去された後の患者自身の治癒力(自然治癒力)に委ねられてきました。そのため、治癒能力が低下しているIBD患者では、APに伴う顎骨破壊が改善しにくいことが報告されていました。
今回の取り組み
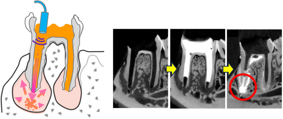
このような病態に対し、東北大学大学院歯学研究科の中野将人助教、Moe Sandar Kyaw助教、齋藤正寛教授、東北大学病院の田中志典講師らの研究グループは、なぜIBDにより顎骨破壊が増悪化するのかを明らかにするとともに、顎骨内で病的に活性化された炎症反応を抑制する新たな抗炎症治療技術の開発に取り組みました。具体的には動物モデルでAP単独の群、腸炎(Colitis)とAPを同時に発症させた群(Colitis+AP)の顎骨をマイクロCTという手法で歯の根の先端部分における骨破壊の体積を定量的に解析しました(図2)。その結果、AP単独では骨破壊範囲の体積は平均で0.2mm3ほどとなった一方、腸炎(Colitis)を伴う根尖性歯周炎群(Colitis+AP)では骨破壊範囲の体積が平均で0.6mm3ほどと増加し、歯の根の先端部における骨破壊が著しく増悪化し、臨床現場で観察されている病態が再現されたことを確認しました。さらに、このモデルを用いた解析から、好中球と呼ばれる免疫細胞が異常に活性化していることを見出すとともに、キャビテーションを用いて、根管から好中球の活性を抑制する抗炎症薬剤を顎骨へ直接浸透させる新規局所投与技術を開発し(図3)、顎骨破壊の進行を抑制できることを報告しました。
今後の展開
本研究では、これまで明らかにされていなかった「腸炎によってAPが悪化する仕組み」を解明し、腸管免疫の破綻が顎骨の免疫システムにも影響を及ぼすことを示しました。本成果は動物実験による検証ではありますが、今後は臨床現場での応用を見据えた研究へと発展させていく予定です。本研究の進展により、根管治療を繰り返しても症状が改善せず、これまで抜歯以外の選択肢がなかった患者に対して、歯を残す新たな治療を提供できる可能性が生まれます。自分の歯を残すことは健康寿命の延伸につながることから、高齢化社会を迎えた我が国において、本治療技術は大きな社会的意義をもつと考えられます。今後、顎骨破壊の増悪を判定する診断技術の確立や、キャビテーション技術を臨床応用するための開発が進むことで、実用化が期待されます。



謝辞
本研究はJSPS科研費基盤(C)(Grant Number JP20K09970)、AMED under Grant Number JP23hma322018の支援をうけて実施されました。
用語説明
- 根尖性歯周炎(Apical Periodontitis):むし歯を放置すると、細菌が歯の内部深くまで感染し、歯の根の先端から顎の骨に影響を及ぼすようになります。歯茎から膿が出たり、強く噛んだ時に痛みが発生したりするなどの不快な症状を伴って、顎の骨が破壊される疾患です。根管治療によって症状が改善すれば歯を残すことができる場合がありますが、重篤な場合には抜歯による治療が選択されます。 ↩︎
- キャビテーション:液体が流動する際に急激な圧力変動によって液体中に「気泡」が発生し、その気泡が崩壊する一連の物理現象のことです。この気泡は崩壊する瞬間に、極めて高い圧力や温度を発生させ、周囲の物質に強い衝撃を与えることが特徴です。 ↩︎
- DDS:Drug Delivery Systemの略で、歯周病治療などで用いられる治療方法のことです。薬物が通常の経口投与では効果が発揮されない場合に器具を用いて患部に直接送り届けます。薬剤が少量で済むことや、消化器系に対する副作用を回避できるなどのメリットがあります。 ↩︎
論文情報
タイトル:Novel Method to Target Apical Periodontitis Worsened by Inflammatory Bowel Disease
著者:Masato Nakano, Yukinori Tanaka, Moe Sandar Kyaw , Fusami Toyama, Wang Shuai, Yuya Kamano, Tomose Noguchi, Futaba Harada, Venkata Suresh V enkataiah, Keisuke Handa, Kentaro Mizuta, Yoshio Yahata*, Masahiro Saito
*責任著者:
東京科学大学大学院医歯学総合研究科歯髄生物学分野 教授 八幡祥生
東北大学大学院歯学研究科歯科保存学分野 助教 中野将人
掲載誌:Journal of dental research
DOI:10.1177/00220345251412776
URL:https://journals.sagepub.com/doi/10.1177/00220345251412776
問い合わせ先
(研究に関すること)
東北大学大学院歯学研究科 歯科保存学分野
教授 齋藤正寛
TEL:022-717-8343
Email:masahiro.saito.c5*tohoku.ac.jp(*を@に置き換えてください)
(報道に関すること)
東北大学大学院歯学研究科 広報室
TEL:022-717-8260
Email:den-koho*grp.tohoku.ac.jp(*を@に置き換えてください)
- 関連資料
- プレスリリース資料(PDF)